Les couronnes permettent de protéger une dent qui a été abimée, soit par une carie, soit par un traumatisme par exemple.
Depuis plusieurs années, des couronnes en céramique pure sont apparues. Leur énorme avantage est qu’il n’y a plus du tout de métaux à l’intérieur. Ceci leur donne de fantastiques qualités esthétiques, mais surtout, elles deviennent complètement neutres au niveau de la biocompatibilité.
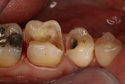
Ici nous avons 3 dents qui posent problème. Il y a deux amalgames infiltrés (plombage) , mais aussi un composite tout noir sur la dent la plus au fond.


A ce stade, la patiente ne souffre pas. Mais pourquoi attendre ? Pourquoi attendre que cela fasse mal, ou qu’une dent se casse. Il est préférable d’anticiper, et de résoudre le problème avant que tout cela ne dégénère un peu plus.
Voici les étapes : Les anciennes obturations sont retirées. On remarque les infiltrations toutes noires sous les plombages. Est-ce que ces dents paraissent en bonne santé ?

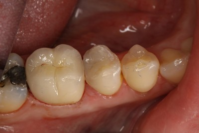
La dent du fond va être réparée avec un onlay en composite, et les deux dents du milieu avec des couronne céramo céramiques.
Voici les photos des dents en céramique pure.


Pour aller plus dans les détails, voici une autre situation. Cette fois-ci, nous avons une molaire et une prémolaire avec des composites défectueux.


Voici les étapes :
Ces composites sont retirés, puis les cavités sont bien nettoyées pour enlever toute trace de caries.

A ce stade, les dents sont isolées avec la digue.

Puis avec des sortes de colliers que l’on appelle « matrices ».

Ensuite, différents produits sont appliqués sur les dents, pour effectuer le collage du nouveau composite de reconstitution. Ce collage peut se faire dans des conditions idéales, car les dents sont isolées de la salive avec la digue. En effet, en bouche, il est très difficile d’avoir de bonne conditions de collage, car tout est humide, y compris par la respiration. Avec la digue, tout est isolé.

Le composite est ensuite placé, et on attend sa prise.

Les dents sont préparées, on retire tout ce qui est fragile, et on laisse une couche du composite que nous venons de placer, qui reconstitue la couche inférieure de la dent. La molaire va recevoir une couronne, et la prémolaire va recevoir un onlay en composite.

Voici le résultat final.

